Columbia Designated Hereditary Hemorrhagic Telangiectasia (HHT) Center of Excellence

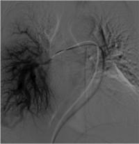
Hereditary Hemorrhagic Telangiectasia (HHT) scan

The world-renowned NewYork-Presbyterian Hospital/Columbia University Irving Medical Center (CUIMC) has been designated a Hereditary Hemorrhagic Telangiectasia (HHT) Center of Excellence by the Cure HHT Foundation. The honor recognizes an organization’s ability to provide the highest level of interdisciplinary coordination of care required to treat HHT, a complicated genetic disorder that affects 1 in 5,000 people, over 90% of whom are undiagnosed.

Due to the complex nature of the condition, the criteria for receiving the Center of Excellence designation requires that hospitals employ a broad range of specialists, including genetic counselors, otolaryngologists, hematologists, and interventional radiologists, all with proven expertise and experience in treating HHT, as well as state-of-the-art facilities that allow for the first-class innovative treatments and technologies necessary to diagnose, assess, and treat the condition. NewYork-Presbyterian/CUMC is the first New York hospital to receive this noteworthy distinction.

Dr. Sergei A. Sobolevsky, a vascular and interventional radiologist and assistant professor of radiology with Columbia's Department of Radiology, is the medical director of the HHT Center of Excellence. “HHT is often difficult to diagnose and treat—there are very few facilities in the country that are able to provide the highest level of care for these patients,” Dr. Chheang said. “We are happy to be the first in New York to offer these services to patients.”

HHT is characterized by internal bleeding due to malformations of blood vessels in organs such as the skin, mucous membranes, lungs, intestines, liver, and brain. Symptoms can range from persistent nosebleeds and lesions to life-threatening complications, such as stroke or heart failure. The condition may require surgical intervention, highlighting the need for accurate screening and coordination of care between all specialists involved. In addition to treatment, the genetic component of HHT emphasizes the importance of genetic counseling to potentially identify other family members who may be at risk.

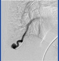
Hereditary Hemorrhagic Telangiectasia (HHT) scan

For patients like Emily Freda, who learned of her family history of HHT just as she herself was diagnosed with an arteriovenous malformation (AVM) in her lung, having the support of a dedicated, knowledgeable medical team is invaluable. "I had never heard of an AVM before and it sounded serious, but nobody in the ER could tell me who to call regarding treatment," said Ms. Freda. "I called the number on the CureHHT.org website the next day, and they put me in touch with Dr. Chheang's office. From my first appointment with her I felt so much calmer about the AVM and the fact that I too have HHT. I can't tell you the peace of mind I have knowing that I have Dr. Chheang on my side."

The HHT Center of Excellence classification serves as a clear indication to those seeking treatment that NewYork-Presbyterian/CUMC is capable of providing the cutting-edge interdisciplinary care this challenging and potentially dangerous condition demands. “We’re incredibly proud to receive this designation from Cure HHT,” said Dr. Chheang. “New Yorkers with HHT deserve a care team that has the extensive knowledge, personnel, and facilities to treat this condition.”

Back to top