Kvist Lab

Location and Contact Information
650 West 168th Street
Suite 250-A
New York, NY 10032
United StatesPrincipal Investigator
Welcome to the Kvist Lab for Pediatric Radiology Research
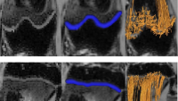
Led by Ola Kvist, the Kvist Lab is dedicated to advancing pediatric radiology through innovative research. Our focus lies in understanding the growth and development of young patients, with a particular emphasis on skeletal health and imaging techniques. We utilize state-of-the-art technology to investigate bone growth patterns, identify potential abnormalities, and explore the impact of various factors on skeletal development. Our research aims to improve diagnostic accuracy, optimize treatment plans, and ultimately enhance the quality of care for children.


