Lung-related Applications

Lung Lesion Segmentation

Lung Related 01 Lung Lesion Segmentation LEFT

Lung Related 01 Lung Lesion Segmentation MIDDLE

Lung Related 01 Lung Lesion Segmentation RIGHT

Tan Y, Schwartz LH and Zhao B, Segmentation of lung tumors on CT scans using watershed and active contours. Med Phys. 2013; 40(4):043502.

Lung Nodule Detection

Nodule missed by radiologist but detected by a computer

A nodule missed by radiologist but detected by computer

Lu L, Tan Y, Schwartz LH and Zhao B. Hybrid detection of lung nodules on CT scan images. Med Phys. 2015;42:5042-54. (Study interviewed and reported by AuntMinnie.com in October 2015)

 

Nodule missed by radiologist but detected by a computer

 

Zhao B, Gamsu G, Ginsberg MS, Jiang L, Schwartz LH. Automated detection of small lung nodules on CT utilizing a local density maximum algorithm. J. Applied Clinical Medical Physics 2003; 4(3):248-260.

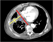
Volumetry of Mesothelioma

Uni-/Bi-dimensional measurement of mesothelioma

Uni-/Bi-dimensional measurement of mesothelioma

Volumetric measurement of mesothelioma

Volumetric measurement of mesothelioma

Liu F, Zhao B, Krug LM, …, Schwartz LH. Assessment of Therapy Responses and Prediction of Survival in Malignant Pleural Mesothelioma through Computer-Aided Volumetric Measurement on CT Scans. J Thorac Oncol. 2010 Jun; 5(6):879-84.

Lung and Airway Segmentations

Lung and Airway Segmentations

Emphysema Detection and Quantification

Emphysema Detection and Quantification
Back to top