Brain-related Applications
3D Segmentations of Brain Tumor, Necrosis and Edema
Guo X, Schwartz LH and Zhao B, Semi-automated Segmentation of Multimodal Brain Tumor Using Active Contours. Proceedings of MICCAI 2013, BRATS: 17-30.
Chow DS, Qi J, Guo X, Miloushev VZ, Iwamoto FM, Bruce JN, Lassman AB, Schwartz LH, Lignelli A, Zhao B, Filippi CG. Semi-automated volumetric measurement on post contrast MR imaging for analysis of recurrent and residual disease in glioblastoma multiforme. AJNR Am J Neuroradiol. 2014; 35(3):498-503.
3D Segmentations of Anatomic Structures and Ischemic Lesions in Brain
Brain Volume
Core Infarct Volume

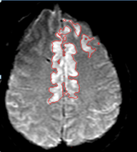
Volumetry of Bilateral Cortical Ischemiaon DWI (left) and ADC (right)

MS Volume
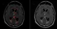
Ventricle Volume

Volumetry of cerebrospinal fluid on Flair

Filippi CG, El-Ali AM, Chow DS, Miloushev VZ, Guo X, Zhao B, Computer-assisted Volumetric Measurement of Core Infarct Volume in Pediatric Patients: Feasibility for Clinical Use and Development of Quantitative Metrics for Outcome Prediction, AJNR Am J Neuroradiol. 2015; 36(4):789-94.
De Marchis GM, Filippi CG, Guo X, Pugin D, Gaffney CD, Dangayach N, Suwatcharangkoon S, Falo MC, Schmidt JM, Agarwal S, Connolly ES Jr., Claassen Jan, Zhao B, Mayer SA. Brain Injury Visible on Early MRI after Subarachnoid Hemorrhage Might Predict Neurological Impairment and Functional Outcome. Neurocrit Care. 2015; 22(1):74-81.